意識はグリア細胞の活動から? - NIPS、パラダイム・シフトを迫る成果を発表  [2012/11/27]
生理学研究所(NIPS)は11月27日、光によってグリア細胞のみの働きを活性化させること(光操作)に成功し、小脳のグリア細胞を光で刺激すると、運動学習が進むことが確認され、グリア細胞は神経細胞と密接に連絡を取り合っており、グリア細胞の働きで脳の機能が左右されることが示されたと発表した。
成果は、NIPSの松井広 助教らの研究グループによるもの。研究の詳細な内容は、現地時間11月26日付けで米国科学雑誌「米科学アカデミー紀要(PNAS)」に掲載された。
ヒトの脳は、神経細胞の間を信号が行き交う過程を通して、高次機能を生み出している。それを考えると、脳の容積の大半は神経細胞で構成されているようなイメージがあるが、実は違う。別の種類の細胞である「グリア細胞」で満たされているのだ。
過去1世紀にわたって、グリア細胞は脳の高次機能に関わるとは想定されておらず、ただ神経細胞を囲って栄養補給などのサポートをするに過ぎない存在だと考えられてきた。その一方で、脳疾患の中には、神経細胞の異常だけでは説明できないものも見つかってきているというわけである。
研究グループは今回、2012年7月に発表した遺伝子改変技術を使い、脳のグリア細胞の働きを、光で自在に操ることができるマウスを作り出した次第だ。
電気で細胞を刺激するといった従来の手法では、神経細胞の働きとグリア細胞の働きを区別できていなかった。しかし今回の方法では、生きたままのマウスの脳の中に光を照射するだけで、グリア細胞だけを選り分けて刺激することが可能になったのである。
具体的には、マウスの遺伝子を操作し、光を感じて興奮する「チャネロドプシン」を、グリア細胞だけに発現する遺伝子改変マウスを作成。光ファイバーを用いて、小脳に青色の光を照らし、グリア細胞を活性化させることに成功したというわけだ。
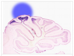
活性化したグリア細胞からはグルタミン酸が放出され、近くの神経細胞の活動が高まった。画像1は、神経細胞が活動した時のマーカー(青)で小脳組織を染めたものであり、光を照らした辺りで神経活動が上がっていたことを示している。
グルタミン酸は、神経細胞同士の連絡にも使われる神経伝達物質だが、神経細胞の場合は、神経と神経とをつなげているシナプスにおいてグルタミン酸の放出が起こる。それに対し、グリア細胞からの放出の場合は、付近一帯にグルタミン酸が広がることで、その辺りの神経回路の状態を変化させると考えられた。
実際、今回の実験では、グリア細胞から放出されたグルタミン酸が、近くの神経細胞に届くと、シナプスが変化して、以後、このシナプスでの信号の伝わり方が変化することがわかったのである(画像2)。
画像2は、グリア細胞の働きで、近くの神経細胞のつながり(シナプス)が変化し、運動学習が進むことを表した模式図。グリア細胞を光刺激すると、グリア細胞から伝達物質であるグルタミン酸が放出される(左図)。これによって、グリア細胞が囲んでいるシナプス(神経のつながり)が変化し、右図のように、神経から神経への信号の伝わりが弱められることがわかった。

画像2。グリア細胞の働きで、近くの神経細胞のつながり(シナプス)が変化し、運動学習が進むことを発見
さらに研究グループは、グリア細胞を刺激した時の運動学習への影響も調べた。眼の前で動くものを眼で追うという精密な運動学習は、最初はうまくできないが、長い間の訓練によってだんだんうまくできるようになる。小脳の働きによるものであり、現時点で考えられているその仕組みは、小脳のシナプスでの信号の伝わりが弱くなることで、よりよく追うことができるようになるというものだ。
そして左右に振れるスクリーンを追跡する眼球運動の振幅を測ったところ、グリア細胞をたった1度刺激するだけで、追跡の振幅が(画像2下の眼の青色波形から緑色波形へと)大きくなり、運動学習が素早く進むことが示された。
今回、小脳のグリア細胞の活動を光操作したところ、こういった運動学習がより速く進み、マウスは眼の前で動くものをよりよく追うことができるようになった。グリア細胞の活動を何らかの方法で操作することで、効率的に学習を進める方法や、効果的に脳機能を向上させる手法が開発されることが期待できる結果である。
例えば、心の最も重要な機能の1つとして意識が挙げられるが、この意識は、麻酔薬によって一時的に失われることが知られている。しかし、その作用機構は実はよくわかっていない。しかし、近年になって、麻酔薬を投与することによって、グリア細胞の活動が強く抑制されることが示されている。
今回の研究では、グリア細胞の活動は神経の活動へと伝わることが示された。これをあわせて考えると、グリア細胞の活動こそが心の状態を作り出す根源になっている可能性もあるという。これも、これまでの脳科学の考え方に転換を迫るパラダイム・シフトといえる。
また、心に占めるグリア細胞の役割が解明できれば、グリア細胞の活動を制御することで、さまざまな心の病に対処しようという動きも生じ、グリア細胞をターゲットにした医薬品の開発も視野に入る可能性があるという。
松井助教は、「今回の研究を通して、グリア細胞の活動が脳神経の活動に影響を与えることが明らかになりました。脳の大半の容積を占めながら、脳内情報処理において役割があるとはまったく想定されていなかったグリア細胞に、今後注目が集まることは必至でしょう。今回の研究手法を用いて、脳の機能や心の働きにおけるグリア細胞の役割がさらに解明できれば、グリア細胞の活動を制御することでさまざまな脳や心の病に対処しようという医薬品の開発も視野に入る可能性があります」とコメントしている。





